Tú salud dental en manos expertas
Planificación digital y tratamientos personalizados para máxima precisión
Confía en especialistas que combinamos ciencia, arte y tecnología para transformar tú sonrisa.
Nuestros Servicios
Ortodoncia convencional e invisible
Corrige la posición de tus dientes y mejora tu mordida con brackets convencionales o con alineadores transparentes, cómodos y discretos.
Programa de crecimiento y desarrollo maxilar
Tratamiento preventivo enfocado en niños (4-13 años) para guiar su crecimiento facial, mejorar su respiración y evitar problemas futuros en su mordida.
Diseño de sonrisa digital
Planificación 3D que te permite ver el antes y después de tu tratamiento previamente de comenzar, para asegurarnos de cumplir tus expectativas y lograr una sonrisa natural y armónica.
Implantes
Reemplazo fijo y duradero para dientes perdidos, con resultados que se ven, se sienten y funcionan como un diente natural.
Rehabilitaciones integrales
Devolvemos la función y estética a tu boca con un plan completo que combina prótesis, coronas, carillas y más, según tus necesidades.
Cirugía oral
Procedimientos seguros y especializados para resolver extracciones, cirugías de cordales y otras necesidades quirúrgicas, siempre priorizando tu comodidad y bienestar.
Endodoncia
Tratamiento que elimina infecciones en el interior del diente, alivia el dolor y preserva tu pieza dental natural para que no la pierdas.
Periodoncia
Cuidado especializado de tus encías y tejidos de soporte, previniendo y tratando enfermedades periodontales para mantener tu sonrisa sana.
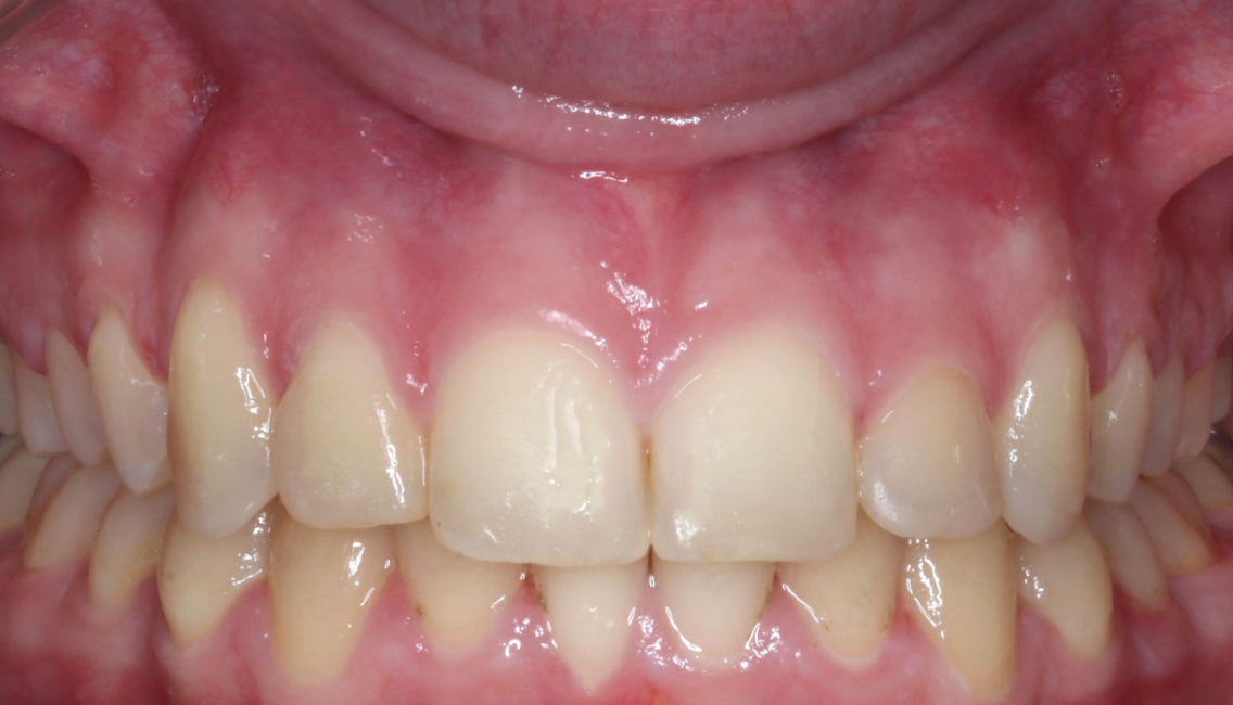
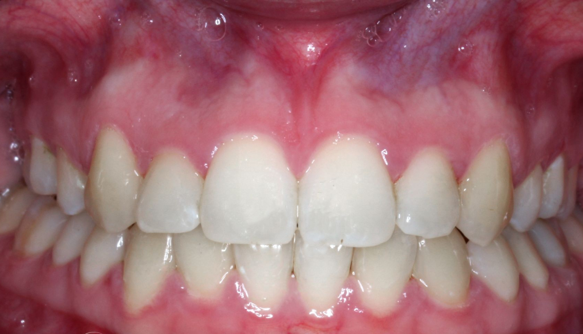
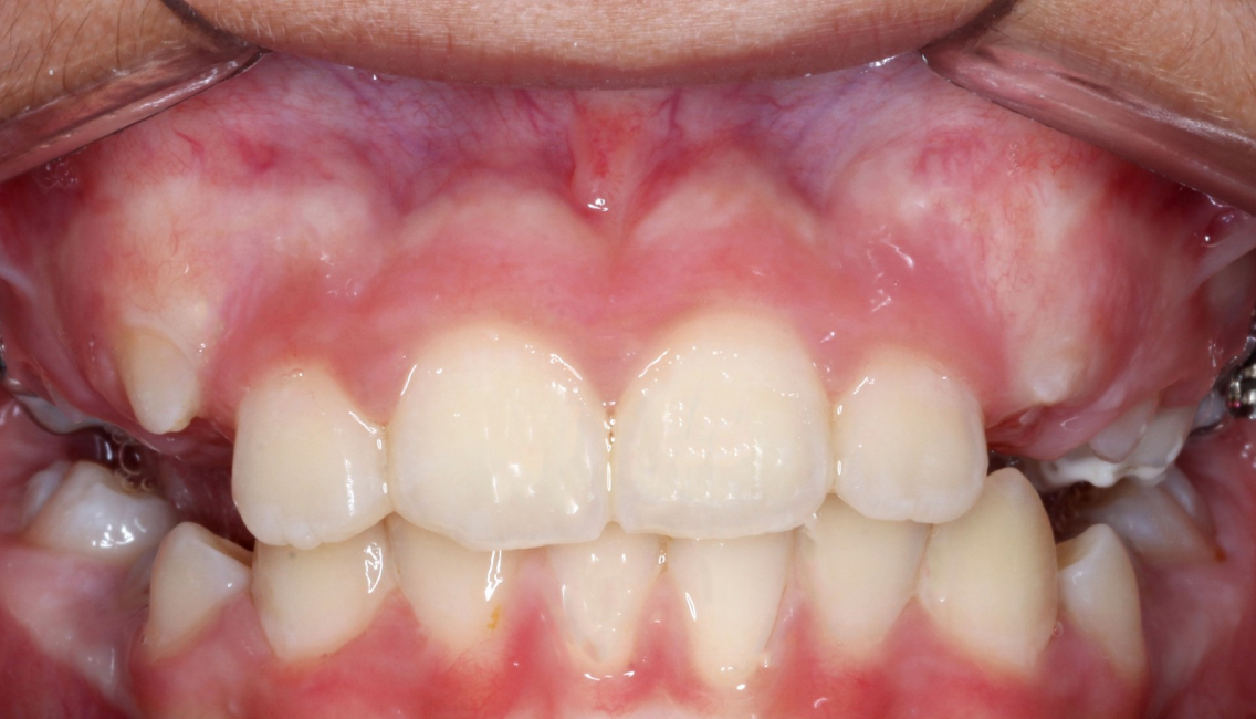
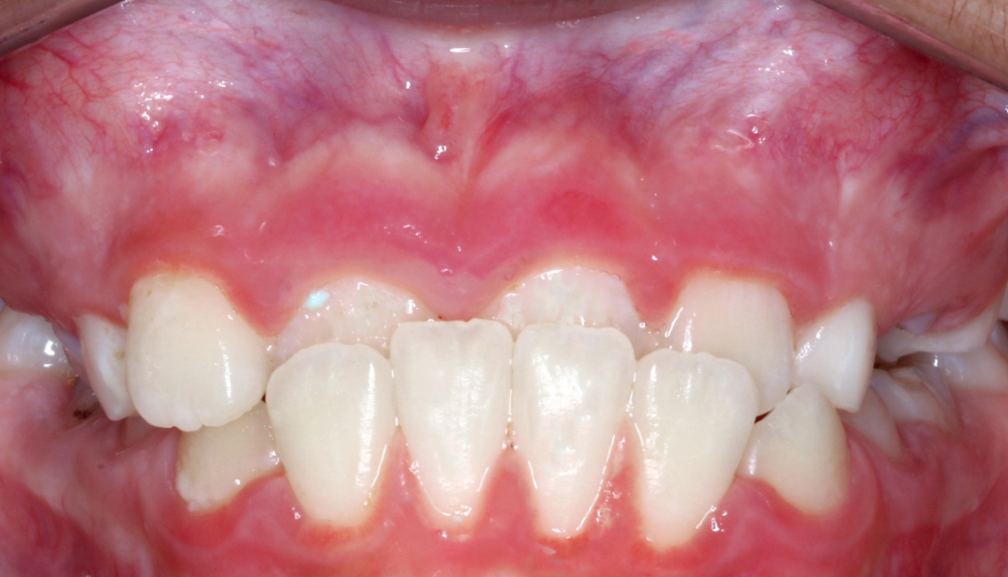
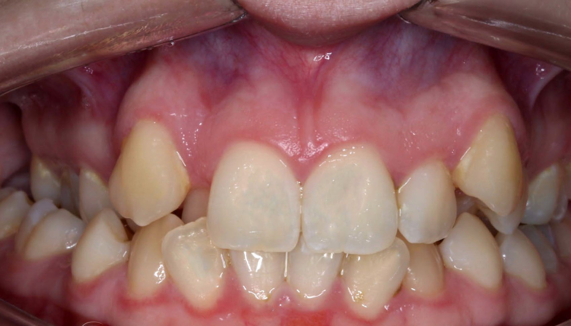
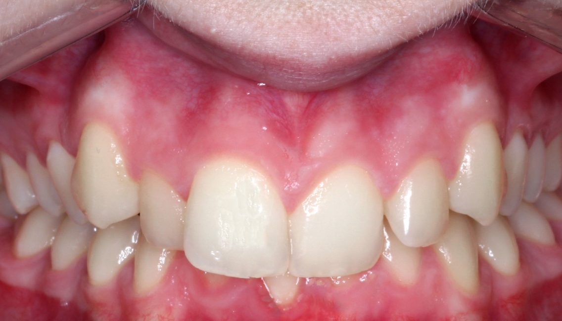
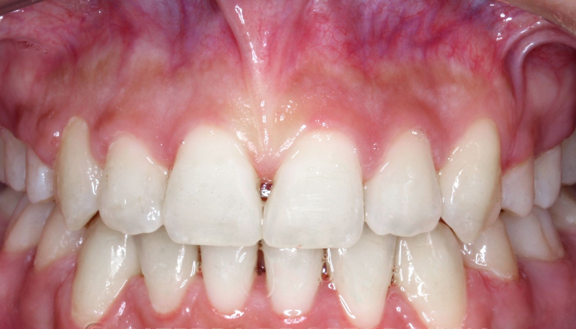
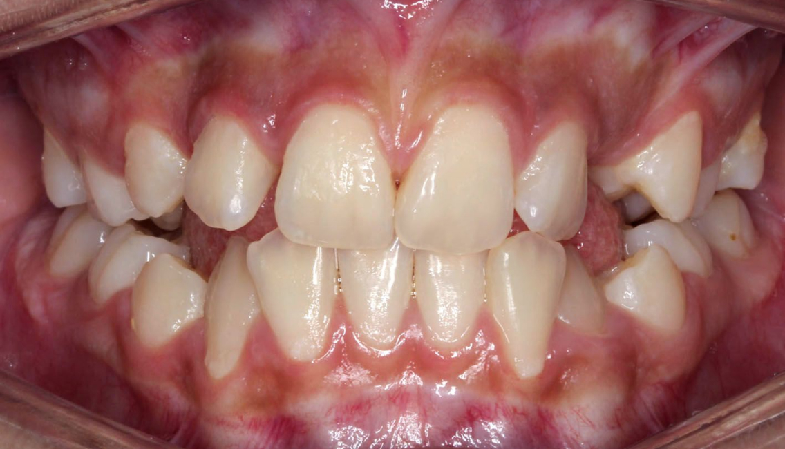
Casos de Éxito
¿Quién es la Dra. Camila Valencia?
Soy la Dra. Camila Valencia, especialista en ortodoncia y ortopedia maxilar de la Universidad De Buenos Aires y terapeuta miofuncional certificada por Myobrace Research.
Con mas de 14 años de experiencia en el mundo de la odontología, acompaño a niños, adolescentes y adultos, para obtener sonrisas funcionales, estéticas y sanas. Bienvenidos a este espacio donde transformamos sonrisas de forma precisa, funcional y completamente personalizada.
“Especialista UBA · 14+ años · Myobrace Certified · Odontología Digital”.
¿Por qué elegir a la
Dra. Camila Valencia?
- Especialista en Ortodoncia y Ortopedia Maxilar (UBA) con más de 14 años de experiencia.
- Certificada en Terapia Miofuncional por Myobrace Research, un enfoque único en la región.
- Odontología digital: Planeación 3D, precisión y resultados predecibles.
- Enfoque integral: Desde ortodoncia y alineadores hasta rehabilitación, implantes y estética dental.
- Tratamientos personalizados: cada sonrisa se diseña de acuerdo a tus necesidades y estilo de vida.
- Acompañamiento cercano y humano: Claridad en cada etapa de tu proceso.
- Ambiente cálido y moderno, pensado para que disfrutes tu experiencia en el consultorio.
Preguntas Frecuentes
¿Cuál es la diferencia entre brackets y alineadores invisibles?
Ambos corrigen la posición de los dientes y la mordida. Los brackets son visibles y van fijos, mientras que los alineadores son placas transparentes, removibles, muy cómodas y casi imperceptibles. La elección depende de tus necesidades y estilo de vida.
¿A qué edad se recomienda iniciar el programa de crecimiento y desarrollo maxilar?
Lo ideal es iniciar entre los 4 y 12 años, cuando aún podemos guiar el crecimiento de los huesos y corregir hábitos orales. Sin embargo, siempre evaluamos cada caso para definir el mejor momento.
¿Qué es la terapia miofuncional y para quién está indicada?
Es una disciplina que se enfoca en prevenir, diagnosticar y corregir disfunciones en los músculos de la boca y cara. Se recomienda tanto en niños como en adultos que presenten problemas en su mordida, ronquido, respiración oral o recidivas después de haber terminado un tratamiento de ortodoncia.
¿Los implantes dentales duelen?
No. El procedimiento se realiza con anestesia local, por lo que no sentirás dolor durante la cirugía. Puede haber una ligera molestia después, pero se controla fácilmente con analgésicos.
¿Cuánto dura un tratamiento de ortodoncia?
La duración varía según cada caso, pero en promedio puede tomar entre 12 a 24 meses. Gracias a la planeación digital, desde la primera cita podrás conocer una estimación clara de tu tiempo de tratamiento.
¿Los tratamientos tienen financiación o planes de pago?
Sí. Sabemos que la salud y la estética dental son una inversión importante, por eso ofrecemos diferentes opciones de pago y planes de financiación para que el tratamiento se ajuste a tus necesidades y posibilidades, sin afectar tu bienestar ni tus resultados.
Nuestro Consultorio ->
![IMG_3306[1]](https://dracamilavalencia.com/wp-content/uploads/2025/09/IMG_33061-scaled.jpg)
![IMG_3315[1]](https://dracamilavalencia.com/wp-content/uploads/2025/09/IMG_33151-scaled.jpg)
![IMG_3311[1]](https://dracamilavalencia.com/wp-content/uploads/2025/09/IMG_33111-scaled.jpg)
![IMG_3710[2]](https://dracamilavalencia.com/wp-content/uploads/2025/09/IMG_37102-scaled.jpg)
![IMG_3312[1]](https://dracamilavalencia.com/wp-content/uploads/2025/09/IMG_33121-scaled.jpg)
![IMG_3316[1]](https://dracamilavalencia.com/wp-content/uploads/2025/09/IMG_33161-scaled.jpg)